What Does Early Stage Oral Cancer Look Like : Oral Cancer Images The Oral Cancer Foundation / Many symptoms caused by oral tumors may be due to other, less serious conditions or other cancers.
Dapatkan link
Facebook
X
Pinterest
Email
Aplikasi Lainnya
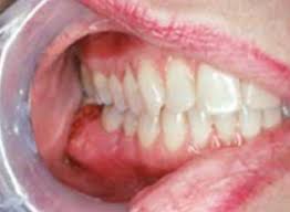
What Does Early Stage Oral Cancer Look Like : Oral Cancer Images The Oral Cancer Foundation / Many symptoms caused by oral tumors may be due to other, less serious conditions or other cancers.. Stage i mouth cancer stage i describes a very early stage of cancer. A stage 0 oral cancer tumor means the cancer is only growing in the epithelium, the outermost layer of tissue in the oral cavity or oropharynx. What does mouth cancer look like. For example, throat cancer pictures below are three stages of cancer of the tonsils. No cancer cells are present in deeper layers of.
Oral cancer can affect the mouth including the gums, lips, tongue, mouth's roof, and floor and the inner cheeks. For example, throat cancer pictures below are three stages of cancer of the tonsils. The grade tells you how much the cancer cells look like normal cells. These tumors often grow metastasize to the lymph nodes. The stage of mouth cancer tells you its size and depth, and whether it has spread.
Oral Cancer Awareness And Detection from waxhawdentalcenter.com Clinical manifestations of lip cancer primarily involve the lips, but can also occur on adjacent areas in the mouth. Number stages and grades of mouth cancer. The symptoms and appearance of throat cancer depend on the specific part of the throat that is affected and the stages of its development. Stage i mouth cancer stage i describes a very early stage of cancer. What are the early stages of mouth cancer? The middle of the canker sore may appear white, gray, or yellow, and the edges are red. What does throat cancer look like? Doctors and dentists usually find oral cancer during routine checkups.
A canker sore looks like an ulcer, usually with a depression in the center.
However, gum cancer has slow progression, which means that further spread of malignant cells is effectively prevented when treatments are instituted. Just like with any forms of cancer, distant metastasis provides the most unfavorable picture for patients. In the early stage of mouth cancer, it looks exactly like an ulcer. Doctors and dentists usually find oral cancer during routine checkups. Checking the overall state of the oral cavity can detect cancer cadres in the mouth. Lip cancer is responsible for about 4,000 cases of oral cancer yearly. The symptoms and appearance of throat cancer depend on the specific part of the throat that is affected and the stages of its development. There are two systems of stages of mouth cancer, but i want to introduce the number stage for you. The oral cancer has spread to distant sites outside the head and neck region (for example, the lungs, liver or bones). The stage of mouth cancer tells you its size and depth, and whether it has spread. In the early stages of tongue cancer, especially with cancer at the base of the tongue, you might not notice any symptoms. For example, throat cancer pictures below are three stages of cancer of the tonsils. Sore in the mouth that doesn't heal (the most common symptom) white or red patch on the gums, tongue, tonsils, or lining of the mouth
In addition, for us, it is better to know what does gum cancer look like, in order to prevent it. A canker sore looks like an ulcer, usually with a depression in the center. The oral cancer has spread to distant sites outside the head and neck region (for example, the lungs, liver or bones). Tobacco use, whether smoking or chewing, can also lead to cancer of the lips (as well as other mouth cancers). Early stages of mouth cancer may look like:
Self Oral Cancer Screening Socs Education Program School Of Dentistry Lsu Health New Orleans from www.lsusd.lsuhsc.edu Many symptoms caused by oral tumors may be due to other, less serious conditions or other cancers. If symptoms persist for several weeks or months, it is important to see your doctor so that, if oral cancer is present, it may be diagnosed as soon as possible. The chance of survival is very good at this stage. Just like with any forms of cancer, distant metastasis provides the most unfavorable picture for patients. The early signs of oral cancer can be difficult to spot and therefore are sometimes easily overlooked. Early lesions from this cancer appear as white, translucent patches on an erythematous base of the cheek. This type of cancer can develop in a number of places, including the lips, inner lining of the cheeks, salivary glands, gums, tongue, hard palate and soft palate. The middle of the canker sore may appear white, gray, or yellow, and the edges are red.
Lip cancer lesions can develop anywhere on your lips, but they are most likely to occur on your lower lip.
Health scotland and glasgow dental hospital learn more about reducing the risk of oral cancer Gum cancer has a good prognosis when detected at an early stage. No cancer cells are present in deeper layers of. Early signs of mouth cancer present with the following: If they notice signs of a problem, they'll look carefully inside your mouth and throat, sometimes with a special lighted tool,. Doctors and dentists usually find oral cancer during routine checkups. Some contain a brief patient history which may add insight to the actual diagnosis of the disease. Just to remind you about what some oral cancers look like. Up to 15% of oral cancers are lip cancer in origin. Clinical manifestations of lip cancer primarily involve the lips, but can also occur on adjacent areas in the mouth. The type of surgery done will depend on the location of the cancer. The tumor is not more than 2 centimeters, and the cancer has not reached the lymph nodes. A canker sore looks like an ulcer, usually with a depression in the center.
A canker sore looks like an ulcer, usually with a depression in the center. The early signs of oral cancer can be difficult to spot and therefore are sometimes easily overlooked. Oral cancer can affect the mouth including the gums, lips, tongue, mouth's roof, and floor and the inner cheeks. Lip cancer is responsible for about 4,000 cases of oral cancer yearly. Up to 15% of oral cancers are lip cancer in origin.
Eposters Oral Cancer from www.eposters.net These tumors often grow metastasize to the lymph nodes. Checking the overall state of the oral cavity can detect cancer cadres in the mouth. Mouth cancer, also known as oral cancer is cancer where a tumor occurs in any part of the mouth; What does throat cancer look like? Number stages and grades of mouth cancer. A canker sore looks like an ulcer, usually with a depression in the center. This gives your doctor an idea of how the cancer might behave and what treatment you need. For example, throat cancer pictures below are three stages of cancer of the tonsils.
Abnormal cell growth usually appears as flat patches.
Doctors and dentists usually find oral cancer during routine checkups. Cancer is a disease that has the tendency to increase in each year. Just to remind you about what some oral cancers look like. What are the early stages of mouth cancer? If the sore bump on roof of mouth, patch on tongue, mass formed on gums, swelling or color changes inside the mouth do not go away even after the passage of a few weeks then they should be evaluated by a doctor. What some oral (mouth) cancers look like these photographs are not meant to scare you. What does throat cancer look like? Clinical manifestations of lip cancer primarily involve the lips, but can also occur on adjacent areas in the mouth. Oral cancer can affect the mouth including the gums, lips, tongue, mouth's roof, and floor and the inner cheeks. Abnormal cell growth usually appears as flat patches. The chance of survival is very good at this stage. Tobacco use, whether smoking or chewing, can also lead to cancer of the lips (as well as other mouth cancers). Stage i mouth cancer stage i describes a very early stage of cancer.
18.11.2021 · inherited cryptocurrency is treated like other capital assets that are passed from one generation to another. 09.11.2021 · bitcoin's past may provide some clues, according to kiana danial, author of "cryptocurrency investing for dummies." danial says there have been plenty of huge spikes followed by pullbacks in. They may be subject to estate taxes if the estate exceeds certain thresholds ($11.7. 01.12.2021 · if you are looking forward to building such a website then we have picked the right set of bitcoin and cryptocurrency website templates and themes for you in this post. Bitcoin and crypto like ethereum has become the big discussion in the tech world in recent years and everybody has been hit with bitcoin fever. Shinekoo Gold Uberzogene Bitcoin Munze Sammlerstuck Btc Munze Kunstsammlung Physikalisch from 18.1...
Although there is no online editor where you can customize graphics to fit your project that is a. She always looks incredibly happy when she's in a bikini. 18.10.2021 · that statement included pictures of mining rigs seized from these operations, too,. If you're not a trained graphic designer with design software, you can make your own logo using a logo builder or logo design app. It's not uncommon for cryptocurrency miners to steal power. Realistic Bitcoin Background 541203 Vector Art at Vecteezy from static.vecteezy.com 10.02.2021 · world of vector logo. Although there is no online editor where you can customize graphics to fit your project that is a. If you're not a trained graphic designer with design software, you can make your own logo using a logo builder or logo design app. She posts pictures of herself on social m...
Signs Of Pancreatic Cancer Dogs : Pancreatic Cancer - Abdominal mass that you can see or feel. . Abdominal mass that you can see or feel. Pancreatic necrosis may result in to extreme pancreatitis, and may spread to other organs too. A dog with pancreatic cancer may show signs such as: Diagnosis of pancreatic cancer in dogs your vet will likely try to see if he or she can feel a protruding mass in the abdomen, which can be a symptom of adenocarcinomas in the pancreas. In the vast majority of cases, symptoms only develop after pancreatic cancer has grown and begun to spread. Symptoms of pancreatic cancer in dogs. Pancreatitis cancer is very rare in dogs. Pancreatic cancer in dogs can cause the pancreas to function intermittently, so that sometimes the symptoms may seem to have resolved, only to return again later. Giving your dog iv fluids is also a common practice for pancreatitis. Unexplained lumps and bumps several forms of cancer can cause lumps or bumps on your do...
Komentar
Posting Komentar